Teknelab ha rivoluzionato il nostro studio con le loro protesi di alta qualità e il servizio impeccabile. Non potremmo essere più soddisfatti.

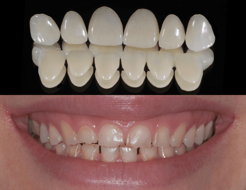
Siamo un laboratorio odontotecnico all’avanguardia, impegnato nell’innovazione tecnologica e digitale. Con sedi in tutta l’Emilia Romagna, offriamo soluzioni e supporto d’avanguardia per le tue esigenze protesiche.
Teknelab ha rivoluzionato il nostro studio con le loro protesi di alta qualità e il servizio impeccabile. Non potremmo essere più soddisfatti.

La precisione e l’affidabilità delle protesi fornite da Teknelab hanno migliorato notevolmente la nostra pratica. Consigliamo vivamente i loro servizi.

Grazie a Teknelab, possiamo offrire ai nostri pazienti soluzioni protesiche all’avanguardia. Il loro team è professionale e sempre disponibile.

Collaborare con Teknelab è stata una decisione vincente per il nostro studio. Le loro protesi di qualità superiore hanno aumentato la soddisfazione dei pazienti.

Teknelab è il nostro partner di fiducia per tutte le esigenze protesiche. I loro prodotti sono eccellenti e il servizio clienti è impeccabile.

Teknelab ha dimostrato un impegno costante per l’eccellenza e la cura dei dettagli. Siamo grati per la loro collaborazione nel migliorare la nostra pratica odontoiatrica.

Se sei un esperto del settore alla ricerca di innovazione e qualità per potenziare la tua pratica odontoiatrica, siamo entusiasti di collaborare con te per raggiungere nuovi traguardi insieme!
Responsabile:
Massimo Sanna
Indirizzo:
Via Parini, 3
Casalecchio di Rena BO, 40033
Responsabile:
Valter Bolognesi
Indirizzo:
Nicolò Dall’Arca, 1/N
Bologna BO,40129
Responsabile:
Lamberto Martinelli
Indirizzo:
Via J F Kennedy, 10
San Lazzaro di Savena BO